
PERIODONCIA E IMPLANTOLOGÍA ORAL
PERIODONCIA E IMPLANTOLOGÍA ORAL
Salud de tus Implantes
Prevención y tratamiento de complicaciones periimplantarias.

Periimplantitis: Causas y Tratamientos
La periimplantitis es una inflamación alrededor de los implantes que puede resultar en la pérdida ósea. Es crucial identificar esta condición a tiempo para evitar la pérdida del implante. En nuestra clínica, ofrecemos tratamientos especializados que incluyen limpieza profunda y terapias antimicrobianas para controlar la infección y restaurar la salud de los tejidos periimplantarios.
Complicaciones por Fracturas de Implantes
Las fracturas de implantes dentales son raras, pero pueden ocurrir. Comprender las causas y los factores de riesgo es esencial para su prevención. En caso de fractura, evaluamos cuidadosamente la situación y proponemos soluciones adecuadas, que pueden incluir la sustitución del implante o el uso de técnicas reconstructivas para asegurar la salud bucal del paciente.
Exodoncia de dientes impactados zona anatómicas de riesgo: ¿Qué Hacer?
Los dientes impactados son aquellos que no pueden erupcionar correctamente y quedan atrapados bajo la encía o el hueso, siendo las muelas del juicio (terceros molares) y caninos superiores los más comunes. Causados por falta de espacio o mala posición, pueden generar dolor, infecciones (pericoronitis), daño a dientes adyacentes o mal aliento. El tratamiento suele incluir la extracción, especialmente en muelas del juicio, o tracción ortodóncica. Es crucial el manejo cuidadoso para evitar complicaciones como pérdida de sensibilidad y procesos inflamatorios extensos.

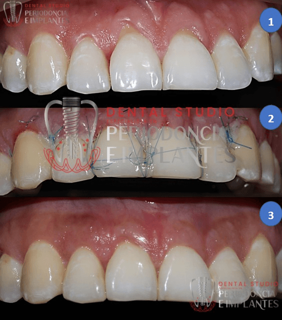
Manejo de recesiones gingivales con injerto de tejido blando
La recesión gingival es el desplazamiento del borde de la encía hacia la raíz del diente, exponiendo la superficie radicular y aumentando la sensibilidad, riesgo de caries y problemas estéticos. Causada por cepillado agresivo, enfermedad periodontal, bruxismo o traumatismo, no se regenera sola y requiere tratamiento profesional.
este caso fue manejado con:
- Técnica de tunelización.
- Sutura "VINCENT RONCO"
- Con resultados altamente efectivas (lateral izquierdo, central izquierdo y lateral derecho resueltas el 100% y central derecho con una resolución de mas del 95%)

Regeneración ósea y colocación de implantes dentales
La regeneración ósea dental es un conjunto de técnicas quirúrgicas, como el injerto óseo y la regeneración tisular guiada, que reconstruyen el hueso maxilar o mandibular perdido debido a enfermedades, infecciones o la falta de dientes. Su objetivo principal es recuperar el volumen y la densidad ósea para permitir la correcta colocación y fijación de implantes dentales.
- La imágen número uno nos muestra un reborde alveolar reabsorvido en filo de cuchillo
- En la imágen número dos podemos obervar el reborde alveolar regenerado en grosor y altura, en esta regeneración se uso el implante como soporte para ganancia de altura y membrana PTFE reforzada con titanio como barrera.
- Activación de los implantes dentales
©2026 - Orgullosamente creado con Strikingly





