
PERIODONCIA E IMPLANTOLOGÍA ORAL
PERIODONCIA E IMPLANTOLOGÍA ORAL
Nuestros Éxitos
A continuación les mostramos el resultado de nuestros tratamientos

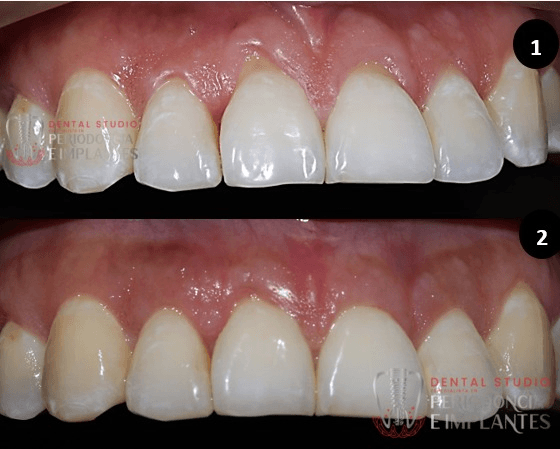
Manejo de rescesión gingival en el sector anterior
Se usó injerto de tejido blando de zona retromolar del maxilar

Implante Inmediato pos exodoncia de diente fracturado (central superior izquierdo)
Paciente con fractura del central superio izquierdo; se le realiza la exodoncia mínimamente traumática, posterior a ello se coloca un implante con la asistencia de una guía quirúrgica y se realiza carga inmediata sin contacto oclusal.

Manejo de tejido blando post implante dental
Manejo del perfil de emergencia con injerto de tejido blando de zona retromolar. El perfil de emergencia en implantes dentales es crucial para el éxito estético y biológico, ya que moldea la encía para lograr una apariencia natural del diente
©2026 - Orgullosamente creado con Strikingly



